Treatments

View all treatments

Conditions

View all Conditions

About

Locations

Smile Packages

View all Smile Packages

BOOK A CONSULTATION ONLINE OR ARRANGE A CALLBACK BY COMPLETING THE CONTACT FORM

Location
Consent
  • Whatsapp

Locations

  • Whatsapp
Face Teeth Smile

Condition Dentistry

Worn Teeth

FTS-Worn_Teeth-Section1

Our teeth do a lot of work, so it’s not surprising that they experience wear and tear as we grow older. ‘Attrition’ is what happens with normal day-to-day activity – the biting edges of the teeth make contact and begin to wear down. Extreme wear isn’t, however, just to do with age.

Some or all of your teeth can appear excessively worn for a number of reasons:

•Overbrushing with hard bristles
•Eating acidic food
•Consuming fizzy drinks
•Teeth grinding (also known as Bruxism)
•Biting hard objects like pen lids or fingernails

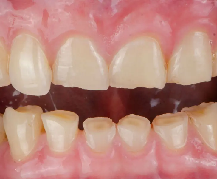
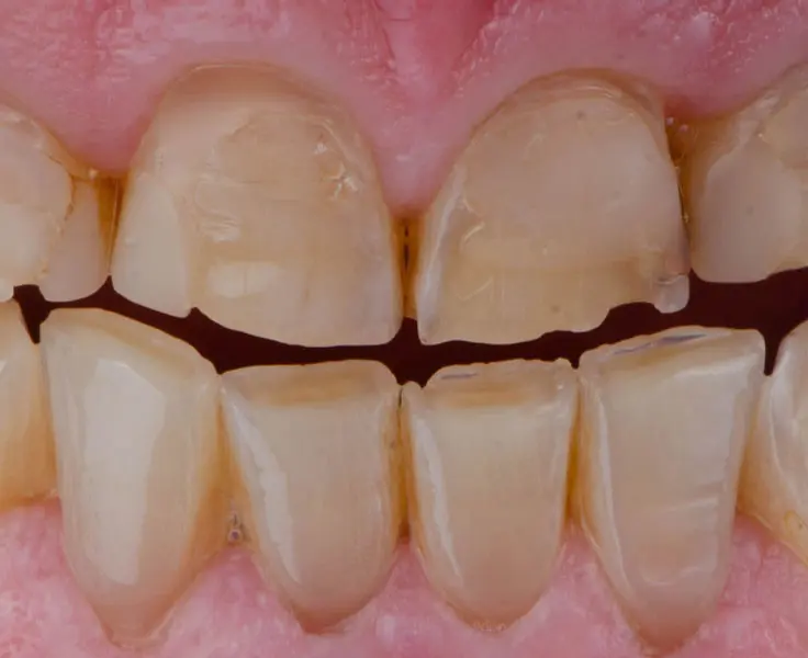
When teeth are worn, they can become physically smaller in size, they might be darker or translucent in colour and gaps may appear. As a result, your smile can lose symmetry, making you feel self-conscious. Of course, worn teeth have physical effects, too. Where protective enamel is lost, teeth might become sensitive and weaker, so more prone to cracks and chipping. If there’s a change in shape, fillings can fall out and your bite may be affected as your upper and lower teeth no longer fit well together.

Book Your Consultation
https://faceteethsmile.com/wp-content/uploads/2022/02/FTS-Worn_Teeth-Section2-1.jpg
https://faceteethsmile.com/wp-content/uploads/2022/02/FTS-Worn_Teeth-Section3-1.jpg

At Face Teeth Smile, we offer a range of transformational treatments to improve both the aesthetic appearance and function of worn teeth.

Dental Crowns: tooth-shaped caps of strong ceramic are custom made to restore the size and shape of worn teeth

Porcelain veneers: thin but very durable pieces of ceramic material are bonded to the front of worn natural teeth to rebuild them

Composite bonding: tooth-coloured resin is bonded to parts or all of a tooth before being expertly sculpted and polished for a natural-looking finish

These treatments can be carried out individually or in combination. When you visit us for a consultation, we’ll discuss your needs and goals then agree a plan to give you the best outcome possible.

Book Your Consultation

OUR OTHER TREATMENTS INCLUDE

Book

If you feel you’d benefit from any of these treatments, book a consultation to discuss the results you could experience, and which approach would be best for you.

Book your consulation

Our Treatments

From stabilising oral health and cosmetic treatments to non-surgical injectables and skin rejuvenation, our Chalfont St Peter Dental clinic offers advanced procedures that can be carried out individually or combined in bespoke makeover packages.

DISCOVER OUR TREATMENTS

Got a question? We’d love to hear from you. Email, call or get in touch via social media.

Face Teeth Smile Gerrards Cross Dental Clinic

Where to find us

Face Teeth Smile Dental Clinic
3 Market Place
Chalfont St Peter
Gerrards Cross
Buckinghamshire
SL9 9EA

GET DIRECTIONS VIA GOOGLE MAPS

TRAVEL & PARKING DETAILS

By car

ON-STREET PARKING

Recommended for short appointments (under 1 hour):
VIEW VIA GOOGLE MAPS

CO-OP CAR PARK

Recommended for short appointments (under 1 hour):
VIEW VIA GOOGLE MAPS

CHURCH LANE CAR PARK

Recommended for longer appointments (over 1 hour):
VIEW VIA GOOGLE MAPS

By train

Gerrards Cross Station is a 20 minute walk or 5 minute taxi ride away from the clinic. There are fast train options into Central London. Gerrards Cross to London Marylebone train takes 20 minutes. 

Chalfont & Latimer Station is a 10 minute taxi ride away and the closest underground station (Metropolitan Line) to the clinic.

Our team will be happy to arrange a taxi for you from the station.

TRAVEL & PARKING DETAILS

By car

ON-STREET PARKING

Recommended for short appointments (under 1 hour):

Address: Market Place, Chalfont St Peter, Postcode SL9 9EA

VIEW VIA GOOGLE MAPS

CO-OP CAR PARK

Recommended for short appointments (under 1 hour):

Address: 13 High St, Chalfont St Peter, Postcode: SL9 9QE

VIEW VIA GOOGLE MAPS

CHURCH LANE CAR PARK

Recommended for longer appointments (over 1 hour):

Address: Church Lane, Chalfont St Peter Postcode: SL9 9RS

VIEW VIA GOOGLE MAPS

By train

Gerrards Cross Station is a 20 minute walk or 5 minute taxi ride away from the clinic. There are fast train options into Central London. Gerrards Cross to London Marylebone train takes 20 minutes. 

Chalfont & Latimer Station is a 10 minute taxi ride away and the closest underground station (Metropolitan Line) to the clinic.

Our team will be happy to arrange a taxi for you from the station.